MoxiePlex 多光谱成像系统
MoxiePlex® 多光谱成像系统可捕获到使用多种荧光染料染色的整个组织样品的高分辨率图像。这些图像为空间蛋白质组学工作流程提供技术支持,并加速药物发现领域的转化研究。
MoxiePlex 是滨松光子学株式会社(中国、欧盟、日本、瑞士、英国)的注册商标。
MoxiePlex 在载玻片上的整个组织切片上提供了多达 9 个通道的荧光成像。
它具有 16 位输出,可提供图像分析所需的高分辨率成像。此外,该系统还配备了前沿相机,在 400 nm 至 900 nm 的波长范围内具有高量子效率,从而可以更广泛地选择荧光试剂并加强生物标志物检测。
/>
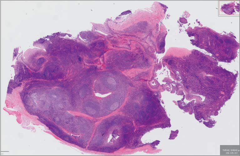
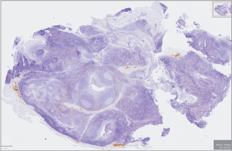
Moxie 软件中的明场图像和荧光图像的 MoxiePlex 并排可视化。它可捕获 H&E 染色、免疫组织化学 (IHC) 染色及特殊染色的样品的高分辨率图像,提供组织形态的全面视图,以进行深入观察和分析。
H&E
IHC
MoxiePlex 以专有的荧光光学技术和算法自动进行样品识别、扫描范围设置、焦点位置设置及曝光时间计算。这不仅减少了设置所需的手动工作量,还提高了在相同条件下进行重复测量时的可重复性。用户可以选择全自动操作,以尽量减少人工工作量,或选择手动调整,以获得更大的灵活性和控制力。
MoxiePlex 通过自动检测明场成像中难以识别的组织样品来增强免疫荧光成像。它智能地设置扫描配置文件,并优化曝光时间,以实现精准的荧光图像采集,进而确保无缝的工作流程和高精度。(专利申请中)
这篇文章是发表在世界知名科学期刊《Nature》网站上的一次访谈内容。在此次谈论中,Carlo Bifulco 博士(Providence Genomics)、David Rimm 博士(Yale University)和 Don Ariyakumar(HAMAMATSU CORPORATION)三位专家分享了他们关于空间蛋白质组学技术临床应用的观点,这些技术能够对癌细胞内的蛋白质及其周围的微环境进行详细分析。他们还讨论了 MoxiePlex 的独特功能及其对诊断和治疗决策的贡献。
| 产品名称 | MoxiePlex 多光谱成像系统 | |
|---|---|---|
| 产品型号 | C16919-01 | |
| 暗盒装载器 | 多达 60 张玻片 | |
| 兼容的载玻片 | 75.0 mm 至 76.0 mm × 25.0 mm 至 26.0 mm(厚度:0.9 mm 至 1.2 mm) |
|
| 物镜 | 20× NA 0.8 |
|
| 扫描分辨率 | 20x 模式 | 0.46 μm/像素 |
| 40x 模式 | 0.23 μm/像素 | |
| 明场扫描速度 | 20x 模式 | 约 60 s(15 mm × 15 mm) |
| 40x 模式 | 约 70 s(15 mm × 15 mm) | |
| 荧光通量 *1 | 20x 模式 | 约 12 min.(15 mm × 15 mm,5 通道) |
| 40x 模式 | 约 14 min.(15 mm × 15 mm,5 通道) | |
| 荧光相机 | 内部 CMOS 相机 | |
| Z-stack 功能 | 包括 | |
| 图像格式 | OME-TIFF(16 bit、8 bit)、NDPI (8 bit) | |
| 电源 | AC 100 V 至 AC 240 V | |
| 用电功耗 | 约 180 VA | |
*1 荧光通量:从装载载玻片、微距摄影、预聚焦 5 点、扫描、图像处理到卸载载玻片的时间。
It looks like you're in the . If this is not your location, please select the correct region or country below.
You're headed to Hamamatsu Photonics website for (Chinese). If you want to view an other country's site, the optimized information will be provided by selecting options below.
In order to use this website comfortably, we use cookies. For cookie details please see our cookie policy.
This website or its third-party tools use cookies, which are necessary to its functioning and required to achieve the purposes illustrated in this cookie policy. By closing the cookie warning banner, scrolling the page, clicking a link or continuing to browse otherwise, you agree to the use of cookies.
Hamamatsu uses cookies in order to enhance your experience on our website and ensure that our website functions.
You can visit this page at any time to learn more about cookies, get the most up to date information on how we use cookies and manage your cookie settings. We will not use cookies for any purpose other than the ones stated, but please note that we reserve the right to update our cookies.
For modern websites to work according to visitor’s expectations, they need to collect certain basic information about visitors. To do this, a site will create small text files which are placed on visitor’s devices (computer or mobile) - these files are known as cookies when you access a website. Cookies are used in order to make websites function and work efficiently. Cookies are uniquely assigned to each visitor and can only be read by a web server in the domain that issued the cookie to the visitor. Cookies cannot be used to run programs or deliver viruses to a visitor’s device.
Cookies do various jobs which make the visitor’s experience of the internet much smoother and more interactive. For instance, cookies are used to remember the visitor’s preferences on sites they visit often, to remember language preference and to help navigate between pages more efficiently. Much, though not all, of the data collected is anonymous, though some of it is designed to detect browsing patterns and approximate geographical location to improve the visitor experience.
Certain type of cookies may require the data subject’s consent before storing them on the computer.
This website uses two types of cookies:
This website uses cookies for following purposes:
Cookies help us help you. Through the use of cookies, we learn what is important to our visitors and we develop and enhance website content and functionality to support your experience. Much of our website can be accessed if cookies are disabled, however certain website functions may not work. And, we believe your current and future visits will be enhanced if cookies are enabled.
There are two ways to manage cookie preferences.
If you don’t want to receive cookies, you can modify your browser so that it notifies you when cookies are sent to it or you can refuse cookies altogether. You can also delete cookies that have already been set.
If you wish to restrict or block web browser cookies which are set on your device then you can do this through your browser settings; the Help function within your browser should tell you how. Alternatively, you may wish to visit www.aboutcookies.org, which contains comprehensive information on how to do this on a wide variety of desktop browsers.
Occasionally, we may use internet tags (also known as action tags, single-pixel GIFs, clear GIFs, invisible GIFs and 1-by-1 GIFs) at this site and may deploy these tags/cookies through a third-party advertising partner or a web analytical service partner which may be located and store the respective information (including your IP-address) in a foreign country. These tags/cookies are placed on both online advertisements that bring users to this site and on different pages of this site. We use this technology to measure the visitors' responses to our sites and the effectiveness of our advertising campaigns (including how many times a page is opened and which information is consulted) as well as to evaluate your use of this website. The third-party partner or the web analytical service partner may be able to collect data about visitors to our and other sites because of these internet tags/cookies, may compose reports regarding the website’s activity for us and may provide further services which are related to the use of the website and the internet. They may provide such information to other parties if there is a legal requirement that they do so, or if they hire the other parties to process information on their behalf.
If you would like more information about web tags and cookies associated with on-line advertising or to opt-out of third-party collection of this information, please visit the Network Advertising Initiative website http://www.networkadvertising.org.
We use third-party cookies (such as Google Analytics) to track visitors on our website, to get reports about how visitors use the website and to inform, optimize and serve ads based on someone's past visits to our website.
You may opt-out of Google Analytics cookies by the websites provided by Google:
https://tools.google.com/dlpage/gaoptout?hl=en
As provided in this Privacy Policy (Article 5), you can learn more about opt-out cookies by the website provided by Network Advertising Initiative:
http://www.networkadvertising.org
We inform you that in such case you will not be able to wholly use all functions of our website.
Close